急速破壊型股関節症とは?
今回のkey point
|
急速破壊型股関節症は半年から1年以内に股関節の軟骨と骨が失われ、関節破壊が生じる |
| 急速破壊型股関節症の治療は進行が早いため人工股関節置換術の手術が推奨される |
急速破壊型股関節症とは?
急速破壊型股関節症(きゅうそくはかいがた こかんせつしょう)とは、その名の通り股関節が短期間で急激に破壊されてしまう病気です。通常、変形性股関節症など股関節の病気は何年もかけて徐々に進行しますが、この疾患では半年から1年以内という短い期間で股関節の軟骨や骨が失われ、関節が崩壊してしまいます。発症は比較的まれで原因も明確には分かっていませんが、高齢者、特に女性に多くみられるのが特徴です。例えば、それまで元気に歩いていたお年寄りが、ここ数か月で急に股関節の激痛を訴えて歩けなくなり、当初のレントゲンでは異常がなかったのに後から関節の破壊が確認される――そんな急変が起こりうるのが急速破壊型股関節症です。
症状 – 急に現れる痛みと動きの制限
主な症状は股関節の激しい痛みと歩行障害です。突然または短期間で強い股関節痛が出現し、それが徐々に増していきます。痛みは初めは動かしたときに強く、進行すると夜間や安静時にも感じるようになります。歩くのが困難になり、足を引きずったり片足をかばうような歩行(跛行)が見られます。急速に関節が壊れていくため、数ヶ月のうちに日常生活でも支障をきたすほど症状が悪化し、階段の上り下りや立ち座りといった動作も不自由になることがあります。
意外なことに、発症初期の段階では股関節の動く範囲(可動域)は比較的保たれている場合が多いと報告されています。これは通常の変形性股関節症の末期と比べて関節の硬さがまだそこまで出現していないためですが、病状が進めば骨が崩れて関節が変形し、次第に可動域も制限されてきます。
最終的には股関節の骨破壊により脚の長さが短くなったり、関節が脱臼したような状態になることもあります。
原因 – なぜ起こるのか?
原因はまだはっきり解明されていません。しかし、患者さんの多くは60~70歳代以上の女性で占められることが分かっており、年齢や性別(女性)と深い関係があるようです。専門的には、急速破壊型股関節症は「比較的正常だった股関節」に生じることが多いとされ、明らかな骨の変形やケガがなくても突然発症します。
考えられている要因はいくつかありますが、骨粗鬆症(骨のもろさ)やご高齢の方に多い脊骨の変形(腰が曲がることによる骨盤の傾き)が影響し、股関節のある部分に過剰な負荷がかかることが一因ではないかと考えられています。
実際、この病気の患者さんでは骨の表面にごく小さな骨折(亀裂)が起きている例があり、そうした微小な骨折から関節破壊が進行する可能性があります。また、骨を吸収する細胞(破骨細胞)が異常に活発化しているとの報告もあり、何らかの炎症反応や免疫・代謝の異常が関与しているのではないかと研究が進められています。
また、関節リウマチや糖尿病、全身性エリテマトーデス(膠原病の一種)などの基礎疾患を持つ方に発症がみられたケースもあり、全身の病気との関連も検討されています。
ただし、これらはいずれも「誘因」と考えられるに留まっており、急速破壊型股関節症を確実に引き起こす原因は未だ特定されていません。おそらく複数の要因が複雑に絡み合って発症する疾患であり、現在も詳しい仕組みの解明が続けられている段階です。
診断 – どのように見つける?
診断には画像検査(レントゲンやMRI)が重要です。患者さんは多くの場合「最近急に始まった激しい股関節痛」で受診しますが、まず通常の股関節症や他の疾患と区別する必要があります。血液検査では特別な異常所見は出にくく、炎症反応(CRP値)の軽度上昇が見られることがある程度です。
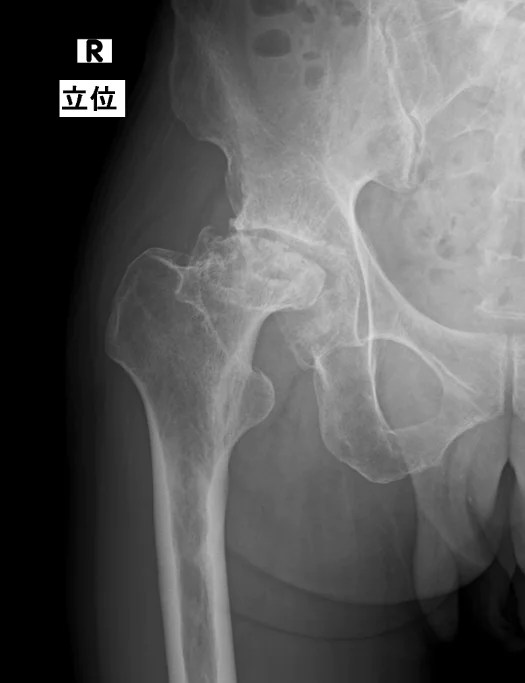
そこでまず行われるのがレントゲン検査ですが、急速破壊型股関節症の厄介な点は発症初期のレントゲン所見がほとんど正常に見える場合が多いことです。股関節の軟骨がすり減っている様子や骨の変形が、最初の段階では画像にはっきり映らないことがあります。そのため、痛みが数か月続くようであればレントゲンを再検査することが大切です。
時間の経過とともに関節の隙間(関節裂隙)の急速な狭まりや、大腿骨頭(ももの骨)の一部消失・陥没、寛骨臼(骨盤側の受け皿)の破壊がレントゲンで確認できるようになります。
特徴的なのは、通常の変形性股関節症に見られる骨棘(余分な骨のとげ)形成などがほとんど見られません。
具体的な診断基準としては、「1年間で関節の隙間が50%以上消失」あるいは「大腿骨頭の高さが2mm以上失われる」といった定義が提唱されています。
MRI検査は早期診断の助けになります。レントゲンでは分からない発症初期でも、MRIでは骨の中の異常な信号(骨髄浮腫と呼ばれる炎症による腫れ)や関節内の液体貯留(関節水腫)が確認できることがあります。実際、急速破壊型股関節症の症例では多くの症例で関節液の増加や滑膜炎(関節内膜の炎症)がMRIで見られたとの報告があります。
またMRIで股関節の骨表面に小さな骨折線(亀裂)が描出され、これが骨破壊の起点と考えられるケースもあります。こうした画像上の特徴的な所見の経時的な変化(例えば数ヶ月間で明らかに悪化していること)を確認することで、この疾患を疑います。
しかし急速破壊型股関節症は稀な疾患で、他の病気との鑑別も重要です。画像や症状がよく似た病気には、関節リウマチ(自己免疫による関節炎)や化膿性股関節炎(細菌感染による関節の破壊)、特発性大腿骨頭壊死(骨頭への血流障害による壊死)、神経病性関節症(シャルコー関節)(糖尿病などで痛みの感じにくい関節が壊れる病態)などがあります。
これらを除外するために、血液検査で感染の有無やリウマチ因子を調べたり、必要に応じて股関節から関節液を採取して分析することもあります。総合的に判断して、「明らかな他疾患がない高齢者で、半年~1年程度の間に片側の股関節が急激に破壊された」場合に急速破壊型股関節症と診断されます。
治療 – 保存療法から手術までの選択肢
急速破壊型股関節症は進行が早いため、基本的には早期に手術治療を行う方針になります。
通常の変形性股関節症であればまず痛み止めやリハビリなどの保存療法を試みますが、この疾患では残念ながら保存療法で進行を食い止めることはあまり期待できません。痛みが強いため一時的にNSAIDs(非ステロイド抗炎症薬)などの鎮痛薬で症状を和らげたり、骨粗鬆症があれば骨密度を改善する薬を用いることもあります。
また、痛みがある脚に体重がかからないよう杖などを使って免荷するなどの対症療法も行われます。
しかし、こうした保存的な治療のみで進行を止めることはできず、時間とともに関節破壊が進んで確実に日常生活動作(ADL)の低下につながってしまいます。
そのため、診断がついた段階で人工股関節置換術(THA)による根本治療が検討されます。
人工股関節置換術(人工関節手術)は、この疾患の治療法として最も有効とされています。手術では破壊された股関節を人工の関節(人工骨頭と人工臼蓋のインプラント)に置き換えます。進行が速いため、発症から半年ほどで手術に至るケースも多く、タイミングを逃さず手術を行うことが重要です。人工関節置換後は、嘘のように痛みがほぼ完全に消失する場合がほとんどです。
手術を受けない選択肢が全くないわけではありませんが、保存療法のみを続けた場合、痛みと障害が強いため生活の質(QOL)は著しく低下してしまいます。また、進行を止められない以上、最終的には関節が崩壊して寝たきりに近い状態になる恐れもあります。手術を受けられる体力がある限り、積極的に人工股関節置換術を検討することがこの病気を克服する近道です。
まとめ – 早期発見・治療で痛みから解放される
急速破壊型股関節症は高齢者(特に女性)に起こりうるまれな股関節の病気で、数ヶ月から1年程度で関節が壊れてしまう病気です。原因は完全には解明されていないものの、加齢や骨粗鬆症、微小な骨折など様々な要因が重なって発症すると考えられています。「最近急に股関節が痛み出して歩きづらい」という症状が現れたら、是非当院の膝股関節専門外来を受診してください。
参考文献
・Chau HTH, Wong PY, Pan NY, Ma KFJ. Rapidly destructive hip osteoarthritis: a diagnosis not to miss. Br J Radiol. 2024 Sep 1;97(1161):1526-1533.
・Hu L, Zhang X, Kourkoumelis N, Shang X. The mysteries of rapidly destructive arthrosis of the hip joint: a systemic literature review. Ann Palliat Med. 2020 May;9(3):1220-1229. 